Skip to main content
Join us for Invisalign Day on July 9th and receive a special offer! To learn more and sign up, click here.
Dental Crowns and Bridges
Let Us Restore Your Smile and Confidence

We can repair or replace a damaged or missing tooth with dental crowns and bridges.

older woman with daughter | dental crowns scarborough on
Dental Crowns in Scarborough Revive Your Smile
Let Us Help!

Dental Crowns and Bridges in Scarborough ON

A man smiling after receiving a dental crown service in Scarborough ONA broken or missing tooth can make you feel self-conscious about your smile, impacting your daily quality of life and your interpersonal relationships. A compromised tooth may also make chewing, eating, and enjoying the foods you usually love difficult.

A dental crown or bridge offers an excellent solution for repairing or replacing a compromised tooth, and our dentists can help create a restoration that restores chewing function and aesthetics to your smile.

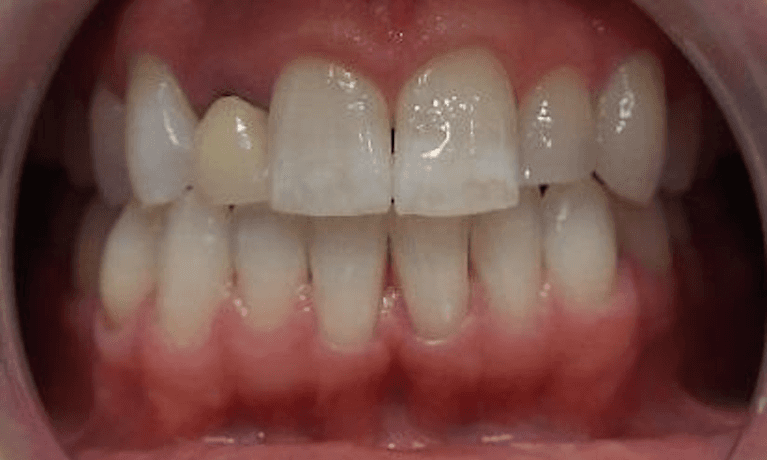
When Do I Need a Dental Crown in Scarborough?

A crown completely covers your damaged tooth, restoring form, function, and aesthetics. Our dentists use customized ceramic porcelain to match your other teeth and complement your smile.

We may recommend a crown in these situations:

  • To strengthen a broken, cracked, or decayed tooth
  • To replace a large, broken-down filling
  • To restore a dental implant
  • To rebuild a tooth that's had a root canal 
  • To cover a misshapen or cosmetically compromised tooth

When Do We Recommend a Dental Bridge?

Bridges are an ideal tooth replacement option for one or more adjacent teeth. They cover healthy teeth with anchor crowns that support one or more prosthetic teeth in between, filling the gaps in your smile and restoring chewing function.

A bridge is also made of porcelain and custom-designed to blend seamlessly into your smile to restore aesthetics.

Dental bridges in Scarborough can be an excellent option for those needing tooth replacement but may not be candidates for dental implants, as no surgery is required to place a bridge.

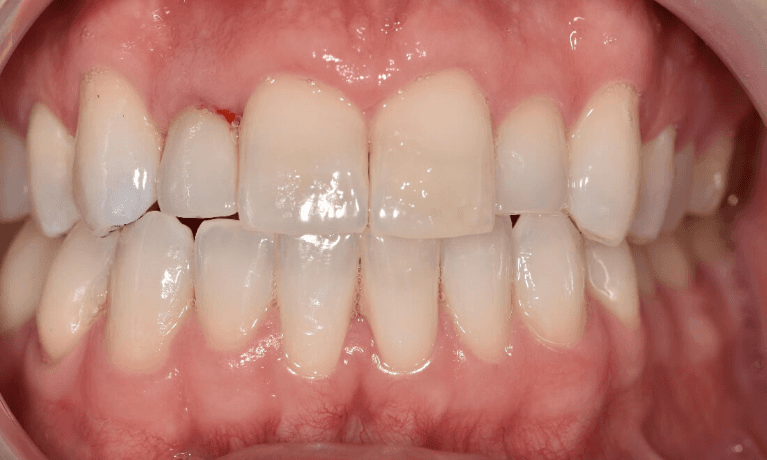
The Crown and Bridge Treatment Process

family hugging | dental crowns scarborough onCompleting a dental crown or bridge is similar and takes two visits with your Scarborough dentist.

During the first visit, we'll prepare your tooth for restoration, take impressions of your smile, and create a temporary crown or bridge for you to wear. A dental lab will create your final restoration, which takes two to three weeks.

Once the lab has completed your bridge or crown, you'll return to Dentistry at Alton Towers to have our dentists place it permanently. We'll also make any adjustments to your smile to ensure that your bite is comfortable and properly functioning.

Caring for Your Dental Bridge or Crown

Daily brushing and flossing are the keys to keeping your restoration clean and promoting longevity. Routine checkups with your team at Dentistry at Alton Towers will also help to protect your restoration, as our dentists can identify early signs of wear or breakdown that could be problematic. 

Avoid hard or sticky foods that could damage or pull off a dental restoration. Enjoy hard foods in bite-size pieces that won't harm your smile.

Need to Book an Appointment in Scarborough?

Contact our team at (416) 366-8188 to schedule an appointment or for more information about bridges or dental crowns in Scarborough.

10/10 I would go back

10/10 I would go back and revisit, it’s a lovely place. EVERY ONE are super duper nice and friendly and made me feel comfortable.
-Aki L.
 

Frequently Asked Questions

Our dentists use a few different materials to make dental crowdental crown on tooth | dental crown scaroboroughns in Scarborough. 

They may recommend a gold crown for a molar that takes the impact of your chewing force because it's the most durable material for that job. 

A ceramic porcelain crown is best for teeth you can see because we can customize it to match your teeth and blend beautifully with your smile. 

Porcelain fused to metal may provide more durability but might not be the right aesthetic choice. 

The Dental Crown Process

Completing a dental crown at Dentistry at Alton Towers is straightforward and should take two appointments. After determining that you need a crown, here's how the process works. 

  • The first appointment — Our dentists get your tooth ready for its new crown by taking impressions and making a temporary crown for you to wear. 
  • A dental lab prepares the crown — It takes two to three weeks for our dental lab to make your new restoration. 
  • Permanent placement — Once your crown is ready, you'll return to Dentistry at Alton Towers to have it permanently placed. 

Reach out for More Information

If you have questions about your treatment or the type of crown recommended, you can contact your dentist in Scarborough at (416) 366-8188. 

Dental crowns are renowned for their durability and versatility. More effectively than any other dental restoration, crowns restore the form and function of damaged or weakened teeth. Additionally, after tooth loss, they function optimally as long-lasting replacements atop dental implants.

But how long can you expect your dental crowns to last? 

Lifespan of Dental Crowns

Generally, dental crowns last between 10 and 15 years. With robust at-home and professional care, they can last even longer! However, the most significant factor in a dental crown’s lifespan is the material from which it’s made:

  • Porcelain or Ceramic — The most aesthetically seamless option, with a lifespan of 10 years or more.
  • Porcelain-Fused-to-Metal — The best balance of durability and aesthetics, typically lasting between a decade and 15 years.
  • Metal (Gold/Alloy) — Best suited for less visible, high-use teeth, offering incredible durability of 15-20 years or more!

Maximizing the Life of Your Dental Crown

Here are some tips to help ensure the longevity of your dental crowns, regardless of material:

  • Maintain good oral hygiene, including daily brushing and flossing.
  • Avoid biting down on hard objects.
  • Wear a nightguard if you grind your teeth (bruxism) while sleeping.
  • Schedule regular dental visits to assess and monitor the crown’s condition.

Precision Placed Dental Crowns in Scarborough

If you're looking for a Scarborough dental practice with experience and expertise in meticulously placing dental crowns and helping you ensure their longevity, contact Dr. Joo and the excellent Dentistry at Alton Towers team to schedule a consultation.

Meet Our Doctors:

headshot youngwoo joo | dentist scarborough

Dr. Joo DDS
Dentist

Dr. Youngwoo Joo was born in Korea and currently resides in Vaughan, Canada. He received his undergraduate training at the University of Toronto and graduated with zoology and human biology ...

Dr. Donghoon Shin - OrthoDentist

Dr. Kent DDS
Dentist

Dr. Kent Shin was born in Korea and now resides in Toronto, Canada. He completed his Bachelor of Oral Health in Dental Science and Graduate Diploma of Dentistry at Griffith ...

headshot john moore | dentist in scarborough

Dr. John DDS
Dentist

​Prior to making Ontario his new home, Dr. John Moore grew up in beautiful British Columbia – which he misses dearly. He began his education at the University of British Columbia, Vancouver. There, he gained a passion for learning ...

Featured Blog Posts - Dental Crowns and Bridges

February 23, 2026

Repair or Remove? How Dentists Evaluate Compromised Teeth

A smiling man in the dentist's chair

When a tooth is badly damaged, deciding whether to repair or remove it requires measured evaluation. Preserving the natural tooth is usually the preferred goal whenever possible, but sometimes a tooth simply cannot be saved. Dentists consider several clinical factors in assessing the situation and determining the most effective treatment ...

February 11, 2026

Why Some Cavities Require Crowns Instead of Simple Fillings

A woman smiling after receiving a dental crown

Not all cavities can be treated with a simple filling. When untreated tooth damage becomes more extensive, your dentist may recommend stronger restorative options to protect the tooth and ensure lasting results. Oftentimes, this means a dental crown.

When a Filling Is No Longer Enough

Small cavities can often be repaired with ...

September 9, 2025

Restore Your Smile with Dental Crowns in Scarborough, ON

An asian woman smiling after getting Dental Crowns in Scarborough, ON

You only get one set of teeth, so taking care of them is essential. At Dentistry of Alton Towers, we strive to help every patient keep their natural teeth for a lifetime. Sometimes, even if it's no fault of your own, you may need a dental crown.

We use dental ...

Dental Crowns and Bridges Technology

digital impressions | dental crowns scarborough

Digital Impressions

Have you ever had to take an uncomfortable and messy impression of your teeth for a crown or orthodontic treatment? Those days are now gone with digital impressions! 

Our dentists in Scarborough now scan a 3-D image of your teeth, which we can use to design restorations and send our specifications directly to the dental lab. This makes treatment comfortable, effective, and efficient for our patients. 

Dental Bridges in Scarborough Replace Lost Teeth
Contact Us